Thursday, April 7, 2016

free surgery closed fracture forearm (ulna,radius ) hyd private hopital info


CLOSED FRACTURE FOREARM

 (ULNA , RADIUS )

మన తెలంగాణ/ఆంద్ర్హప్రదేశ్ రాష్ట్ర ప్రభుత్వాలు బి.పి.యల్. కుటుంబాలకు మాత్రమే కాకుండా పింక్ కార్డు దారులు కూడా ఆరోగ్యశ్రీ  ఉచిత ఆరోగ్యసేవలను అందించడంకోసం ఏర్పాటు చేసిందే తెలంగాణ ఆరోగ్యశ్రీ...... ఇప్పటికే  ఈ పధకం ద్వార అత్యవసర సమయంలో కొన్ని కోట్ల కుటుంబాలను రోడ్డున పడకుంట ఆదుకుంటున్న ఏకైక గొప్ప ప్రభుత్వ పథకం ఆరోగ్యశ్రీ ...


 తెలంగాణ/ ఆంద్ర్హప్రదేశ్  రాష్ట్రంలోని ఏ ఓక్క కుటుంబం కూడా ఆపద సమయంలో ఆర్దికంగా నష్టపోకుండా ఉండాలనే దృడసంకల్పంతో ఈ ఆరోగ్యశ్రీ పధకంను రాష్ట్ర ప్రభుత్వం అమలు చేస్తుంది

 ఒక్క మాటలో చెప్పాలంటే పేదోడికి ప్రవేట్ వైద్యశాలలు
రెడ్ కార్పెట్ వేసి మరి ఆరోగ్య సేవలను అందిస్తున్నారు అంటే అది కేవలం ఆరోగ్యశ్రీ పధకం ద్వారానే
.
 దురదృష్టకరమైన విషయం ఏమిటంటే ఇప్పటికి ఆరోగ్యశ్రీ సేవలను ఎలాపొందాలో తెలియక పోవడం.

ప్రవేట్ హాస్పిటల్లలో  ఆరోగ్యశ్రీ కార్డు, వైట్ రేషను కార్డు లేకపోయీనా ఆరోగ్యశ్రీ సేవలను పొందవచ్చు..

                                      THIS SURGERY FREE FOR ALL TELANGANA AND                                               ANDRHAPRADHESH   RESIDENCE.....ONLY... UNDER  AROGYASREE

         REQUIRED DOCUMENTS;
RATION CARD / VOTER CARD / AADAR CARD / DRIVING LICENSE / SCHOOL ID CARD / AAROGYASREE CARD / CAST CERTIFICATE .

          .ANY ONE DOCUMENT REQUIRED.

IN HYDERABAD CORPORATE HOSPITALS FREE SURGERY CALL...

GRM SEVA SAMITHI... MALLESH  9989704849..

               
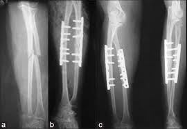
Adult Forearm Fractures
Your forearm is made up of two bones, the radius and ulna. In most cases of adult forearm fractures, both bones are broken.
Fractures of the forearm can occur near the wrist at the farthest (distal) end of the bone, in the middle of the forearm, or near the elbow at the top (proximal) end of the bone. This article focuses on fractures that occur in the middle segments of the radius and ulna. Fractures that involve the wrist or the elbow are discussed in separate articles. (See Related Topics list)
Anatomy
The bones of your forearm are the radius and the ulna.
If you hold your arms at your side with your palms facing up, the ulna is the bone closest to your body and the radius is closest to your thumb. The ulna is larger at the elbow — it forms the "point" of your elbow — and the radius is larger at the wrist.
The primary motion of the forearm is rotation: the ability to turn our palms up or down. The ulna stays still while the radius rotates around it. This is the motion used to turn a screwdriver or twist in a light bulb. Forearm fractures can affect your ability to rotate your arm, as well as bend and straighten the wrist and elbow.

Description
Forearm bones can break in several ways. The bone can crack just slightly, or can break into many pieces. The broken pieces of bone may line up straight or may be far out of place.
In some cases, the bone will break in such a way that bone fragments stick out through the skin or a wound penetrates down to the broken bone. This is called an open fracture and requires immediate medical attention because of the risk for infection.
Because of the strong force required to break the radius or ulna in the middle of the bone, it is more common for adults to break both bones during a forearm injury. When only one bone in the forearm is broken, it is typically the ulna — usually as a result of a direct blow to the outside of your arm when you have it raised in self defense.
Fractures of both the radius and ulna.

Cause
The most common causes of forearm fractures include:
  • Direct blow
  • Fall on an outstretched arm, often during sports or from a height
  • Automobile/motorcycle accidents

Symptoms
A broken forearm usually causes immediate pain. Because both bones are usually involved, forearm fractures often cause an obvious deformity — your forearm may appear bent and shorter than your other arm. You will most likely need to support your injured arm with your other hand.
Additional symptoms include:
  • Swelling
  • Bruising (not as common as in other broken bones)
  • Inability to rotate arm
  • Numbness or weakness in the fingers or wrist (rare)
  • Treatment
    Treatment of broken bones follows one basic rule: the broken pieces must be put back into position and prevented from moving out of place until they are healed. Because the radius and ulna rely on each other for support, it is important that they are properly stabilized. If the bones are not accurately aligned during healing, it may result in future problems with wrist and elbow movement.
    Most cases of adult forearm fractures require surgery to make sure the bones are stabilized and lined up for successful healing.
        Image result for closed fracture radius ulna

No comments:

Post a Comment

TPA NETWORK SERVICE HOSPITALS IN HYDERABAD INFORMATION

  TPA BEST SERVICE HOSPITALS IN HYDERABAD  INFORMATION  MEDI ASSIST INDIA PVT. LTD.  DEDICATED HEALTH SERVICES. E-MEDITEK HEA...